Why should you have to put up with gaps in your teeth, unsightly stains, or crooked teeth? By visiting Dr. Jackson, you will see if porcelain veneers in the Chicago area can successfully improve your smile.
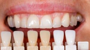
Porcelain Veneers, also known as dental veneers or laminates, are shells of porcelain that are bonded to the anterior (front) teeth in order to improve the look and even the function of your smile. Porcelain Veneers can correct uneven or crooked teeth, internally and externally stained teeth that cannot be whitened, teeth that are sensitive and those that have been worn down from grinding.
CHICAGO PORCELAIN VENEERS WILL AMAZE YOU
Our Chicago area dentist will explain that Porcelain Veneers do not require any special care aside from regular brushing and flossing. They are also highly resistant to food stains such as coffee and tea. This procedure is one of the most non-invasive that you’ll ever experience. Your natural teeth do not need to be ground down as there is little more than a .5mm tooth reduction! Also, depending on tooth sensitivity, local anaesthetic is usually not required. This procedure usually only takes three trips to the dentist: 1) the consultation, 2) the preparation of the teeth for the veneers and 3) the placement of the veneers.
The lifetime of porcelain veneers usually lasts between 5 to 10 years based on patient care and the dentist’s techniques and if performed by a highly skilled and talented dentist, porcelain veneers produce excellent aesthetic results. For a consultation to see if you are a candidate for porcelain veneers in the Chicago area, call us at Dr. Jackson’s office today for an appointment.
