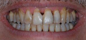
Case 9

Case ID: 3580

Individual results may vary.

Other Smile Gallery Patients

GET IN TOUCH

Contact Us Today

This field is for validation purposes and should be left unchanged.
* All indicated fields must be completed. Please include non-medical correspondence only.

VISIT US TODAY

Our Office Locations

Office Hours

Mon: 9:00 AM – 5:00 PM
Tue: 9:00 AM – 5:00 PM
Thu: 9:00 AM – 5:00 PM
Fri: 9:00 AM – 5:00 PM
Wed, Sat & Sun: Closed

Accessibility Toolbar

Scroll to Top